好消息!日前,在西安举行的第三届图像计算与数字医学国际研讨会(ISICDM 2019)的肝脏CT分割挑战赛中, 由计算机学院沈超敏担任指导教师、朱珂权、俎志昂等同学组成的参赛队以定量第二、定性第一的成绩,获得第二名(二等奖)。

闭幕式(左为朱珂权,右为俎志昂)

获奖照片
这是一项什么样的比赛?
ISICDM自2017年创立以来,被称为「世界级的理工医跨学科交流盛宴」。本届研讨会邀请了信息科学、数学和医学等领域的国内外知名学者作特邀报告;并组织了一批有丰富科研与临床经验的医生和理工科专家学者,作跨学科的科普讲座与前沿学术报告。会议充分体现了理、工、医学科交叉特色,促进了多领域研究成果的交流与合作。本次肝脏CT分割挑战赛的目标是进行肝脏和肝脏肿瘤的同时分割。作为人体重要的器官,肝脏也是肿瘤好发部位之一,且恶性肿瘤最为常见。随着数字医疗设备的进步和影像组学和深度学习等领域的发展,利用CT数据进行肝脏肿瘤的准确诊断成为可能。而肝脏与肝脏肿瘤分割作为计算机辅助诊断的基础和重要步骤,研究和临床意义重大。
自2018年起, 会议设立挑战赛, 经热身赛、排位赛、决赛和现场演示等环节,最终评选出各组别的一等奖一名、二等奖两名和三等奖三名。参加本次挑战赛各组别比赛的队伍来自上海交大、同济大学、重庆大学、上海大学、南方科技大学、香港浸会大学等几十所高校。比赛采用临床真实数据,兼具专业性和实战性。
比赛的所有数据标签均经初级医生首次勾画,中级医生二次修正,高级医生三次确认。排位赛与决赛均为现场比赛,避免了传统挑战赛中参赛者通过反复提交结果刷分数的弊端。决赛阶段的评委包括算法专家、影像科医生与企业代表。这次挑战赛的评委由医学影像分割算法的权威电子科技大学的李纯明教授和协和医院的陆菁菁主任等理工医专家组成。评委们不仅依据定量结果,而且还从医生的角度,依据定性结果,给出最终结果。
我们的技术优势在哪里?
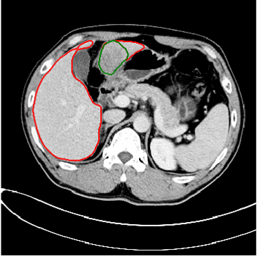
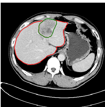
本次肝脏分割挑战赛的难点在于,相比于正常的器官,肿瘤没有固定的形状、大小和纹理,因此CT图像中肝脏肿瘤的分割极具挑战性。对此,沈超敏团队精心设计了数据预处理和3D神经网络的自动分割方法,使得肝脏及肝脏内的肿瘤均达到理想的精度。下面两图是肝脏与肿瘤的分割效果图,红色线段为肝脏区域边缘、绿色为肿瘤区域边缘。

图1 图2
团队成员朱珂权、俎志昂同学在近一个月的比赛过程中,冒着酷暑,积极应战。而朱珂权同学更是从年初开始,就投入到相关医学知识的学习和数据的处理中。天道酬勤,这次能在众多参赛队伍中脱颖而出,参赛队员的辛苦付出得到了回报。
队员有话说:
朱珂权、俎志昂等团队成员表示,在这次挑战赛中收获良多。通过比赛,队员们不仅锻炼了自身的算法和编程水平,也学习到了其他组算法中的优点。感谢本校磁共振上海市重点实验室杨光老师团队在图像显示方面的帮助,感谢张桂戌教授主持的国家自然科学基金重点项目“基于大数据的快速磁共振成像”的支持。比赛成绩揭晓后,不少学校、医院和企业向本团队表示了祝贺,并表达了合作愿望。队员们将以这次比赛作为新的起点,继续深入这方面的研究和探索,争取发表高质量的论文,并在产学研一体化方面取得新进展。
中山北路3663号理科大楼 200062
沪ICP备05003394
Copyright 2019威廉官网中国官方网站 - 欢迎您